Squamous cell carcinoma PowerPoint PPT Presentation

presentation player overlay
1 / 92
About This Presentation
Transcript and Presenter's Notes

Title: Squamous cell carcinoma


1
(No Transcript)
2
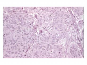
Squamous cell carcinoma
  • Note keratin pearls and desmosomes
  • Name some characteristics

3
  • Only in smokers
  • Centrally located
  • Hypercalcemia ? PTH like substance is made
  • CLUBBING

4
(No Transcript)
5
asthma
  • Note the thickened BM and SM cells

6
(No Transcript)
7
(No Transcript)
8
Bronchoalveolar Carcinoma
  • Subset of adenocarcinoma
  • Not associated with smoking
  • Peripheral location
  • Bronchograms are common
  • Cough with frothy sputum

9
(No Transcript)
10
Bad sputum sample
  • Shows the normal squamous epithelial cells found
    in the upper respiratory tract
  • Contamination of the sample

11
(No Transcript)
12
Squamous cell carcinoma
13
(No Transcript)
14
Small cell carcinoma
  • Note blue cells with high N/C ratio
  • No nucleoli
  • Salt n peppa neuroendocrine cells

15
(No Transcript)
16
Adenocarcinoma
  • Name the characteristics

17
  • Mucin
  • Glands
  • Peripheral
  • Most common type of lung CA
  • Can occur at sites of scars
  • Clubbing
  • Most common type of lung CA in non smokers

18
(No Transcript)
19
Charchot-leyden crystals
  • Found in what lung disease?

20
asthma
  • These are formed from granules of destroyed
    eosinophils

21
(No Transcript)
22
hamartoma
23
discrete tumor of benign tissues in excess or
disarray
  • Cartilage in excess

24
(No Transcript)
25
Smudge cell
  • Hawere you paying attention in hemonc??

26
(No Transcript)
27
Large cell undifferentiated lung cancer
  • Note that there are no glands, desmosomes,
    keratin
  • Name some characteristics.

28
  • Located most often in the periphery
  • Ummmm.

29
(No Transcript)
30
Large cell lung cancer
31
(No Transcript)
32
sarcoidosis
33
(No Transcript)
34
Pneumocystis carinii
  • Foamy stuff in alveolar spaces
  • BAL is a good test for PCP

35
(No Transcript)
36
Usual Interstitial Pneumonitis
37
  • Patchy regions of interstitial inflammation and
    fibrosis alternating with normal lung parenchyma
  • Temporal heterogeneity
  • Whats the differential?

38
  • UIP
  • Asbetosis
  • Rheumatic disease
  • Whats the treatment?

39
  • O2 therapy

40
(No Transcript)
41
sarcoidosis
42
(No Transcript)
43
Bacterial pneumonia
  • Diplococci and white cells from sputum sample
  • What are the common bacteria that cause this?

44
  • Streptococcus pneumoniae
  • Staphlococcus aureus
  • Hemophilus influenze (gram neg)
  • Klebsiella pneumonia (gram neg)
  • Pseudomonas aeruginosa

45
(No Transcript)
46
bronchiectasis
  • Purulent debris in lumen
  • Dilated bronchus
  • Def?

47
  • Irreversible dilation of airways caused by
    inflammatory destruction of airway walls
  • Most common cause is infection
  • 2 non-obstructive causes

48
  • Cystic fibrosis
  • Kartageners syndrome
  • (primary cilia dyskinesia syndrome)

49
(No Transcript)
50
pneumonia
  • Alveolar filling with PMNs

51
(No Transcript)
52
Chronic bronchitis
  • Increased numbers of submucosal mucus glands

53
(No Transcript)
54
Mycobacterium tuberculosis
  • Acid fast stain

55
(No Transcript)
56
Centrolobular emphysema
57
(No Transcript)
58
Hypersensitivity pneumonia
  • Definition immunologic response to an inhaled
    organic antigen
  • Causes?

59
  • Organic dusts
  • Almost always related to occupation
  • Farmers Moldy hay
  • Bird breeders bird proteins
  • Grain weevels
  • Hot tubs and air conditioners
  • What does pathologic examination show?

60
  • Loose granulomas
  • Often peribronchial in location, accounting for
    the obstruction of small airways
  • Interstitial chronic inflammation
  • Whats another name for this condition?

61
Extrinsic allergic alveolitis
62
(No Transcript)
63
Centrolobular emphysema
  • Dilation and septal destruction
  • Increased elastase activity

64
(No Transcript)
65
BOOP
  • Bronchiolitis obliterans
  • Fibroblastic proliferation in bronchiole lumen

66
(No Transcript)
67
asthma
  • Smooth muscle thickening, BM thickening,
    increased eosinophils, mucus cell hyperplasia

68
(No Transcript)
69
silicosis
  • Interstitial lung disease resulting from exposure
    to silica
  • Who gets this?

70
  • Sandblasters
  • Rock miners
  • Quarry workers
  • Stonecutter
  • What does the path image show?

71
  • Silicotic nodule
  • Later this becomes fibrotic and eosinophilic

72
(No Transcript)
73
BOOP
  • Organizing pneumonia
  • Fibroblatic proliferation in alveolar airspaces

74
(No Transcript)
75
Ferruginous body
  • What disease is this associated with?

76
Asbestosis
  • These are asbestos fibers that are coated by
    macrophages with iron-protein complex

77
(No Transcript)
78
Proliferative phase ofDiffuse Alveolar Damage
  • Note the fibroblasts in the interstitium
  • (What is the clinical term for DAD?)

79
Acute Resp Distress Syndrome
  • Occurs when there is an identifiable lung injury
    within the last 2 weeks
  • temporally uniform
  • Ex MVA, septic shock, inhalation of noxious
    chemical
  • Contrast to BOOP this is in the interstitium,
    not the alveolar spaces
  • Contrast to UIP this is temporally uniform, not
    heterogeneous

80
  • Caused by acute damage to type I epithelial cells
  • Early phase is called exudative phase
  • Fluid enters the interstitial space of the
    alveolar septum
  • Influx of inflammatory cells
  • Hyaline membranes begin to deposit
  • Causes more pulmonary edema
  • Evolves into the proliferative phase
  • Hyperplastic type II epithelial cellsattempt to
    replace the damaged type I cells
  • Accumulation of fibroblasts in the pulmonary
    parenchyma
  • Can result in scar tissue
  • The scar tissue could make one more susceptible
    to which type of lung cancer?

81
  • Adenocarcinoma however, it is not known whether
    the tumor arises because of the scar or whether
    the scarring is secondary to the tumor

82
(No Transcript)
83
(No Transcript)
84
  • Metastatic breast adenocarcinoma

85
(No Transcript)
86
  • Metastatic GI adenocarcinoma

87
(No Transcript)
88
  • Metastatic ENT carcinoma

89
(No Transcript)
90
  • Metastatic renal adenocarcinoma

91
(No Transcript)
92
Metastatic melanoma
  • Note the pigment filled macrophages?
Write a Comment
User Comments (0)
About PowerShow.com