Download Presentation File

File to download:

    7.3c. PostContrast Axial CT of the Brain

Title: 7.3c. PostContrast Axial CT of the Brain - PowerPoint PPT Presentation

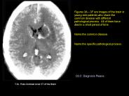
Description: Figures 3A 3F are images of the brain in young sick patients who share the ... All of them have died in a short period of time. Name the common disease. ... – PowerPoint PPT presentation

Download instruction:

The PPT version of this presentation was uploaded from an external web page or resource. We
cannot guarantee that the PPT file is still there nor can we verify that it is safe for you to
download. That said, if you wish to download it, just check that you are not a robot and then
click the download button.